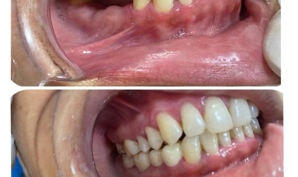
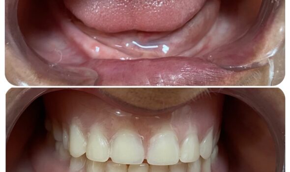
Painless Root Canal Treatment
At Dr Anukriti’s Dental centre, we understand that the mere mention of a root canal treatment can cause anxiety and fear for many patients. However, we want to assure you that root canal treatments can be painless and comfortable when performed by our experienced team. Using advanced techniques, state-of-the-art technology, and a gentle touch, we are committed to providing pain-free root canal treatments that restore your oral health and preserve your natural smile.
Why Choose Painless Root Canal Treatments with Us?
- Expertise: Our dental team consists of skilled professionals with extensive experience in performing root canal treatments. We have the knowledge and expertise to ensure that your procedure is completed with precision and care.
- Advanced Technology: We utilize the latest dental technology, including digital imaging and rotary instruments, to enhance the accuracy and efficiency of our root canal procedures. This allows us to minimize discomfort and ensure optimal results for our patients.
- Customized Approach: We understand that every patient is unique, which is why we tailor our treatment approach to meet your individual needs and preferences. Whether you require local anaesthesia or sedation options, we will work with you to ensure your comfort throughout the procedure.
- Compassionate Care: Your comfort and well-being are our top priorities. We take the time to listen to your concerns, answer your questions, and provide personalized care every step of the way. Our compassionate team is here to support you and alleviate any anxiety or fear you may have about root canal treatment.
What to Expect During Your Pain-Free Root Canal Treatment:
- Comprehensive Evaluation: We will conduct a thorough examination of your tooth and surrounding tissues to determine if a root canal treatment is necessary.
- Anaesthesia Administration: Before the procedure begins, we will administer local anaesthesia to numb the affected tooth and ensure that you are comfortable throughout the treatment.
- Gentle Treatment: Using precise techniques and gentle care, we will remove the infected or damaged tissue from the tooth’s pulp chamber and root canals, effectively eliminating pain and restoring the tooth’s health.
- Post-Procedure Care: After the root canal treatment is complete, we will provide you with instructions for post-procedure care to promote healing and minimize any discomfort. We are here to support you every step of the way as you recover.
Dental Crowns And Bridges
Dental Crowns: A dental crown is a custom-made restoration that covers the entire visible portion of a damaged or weakened tooth above the gum line. Crowns are designed to restore the strength, shape, and appearance of a tooth while protecting it from further damage.
Dental Bridges: A dental bridge is a fixed prosthetic device used to replace one or more missing teeth. It consists of one or more artificial teeth (pontics) anchored to adjacent natural teeth or dental implants. Bridges restore the function and aesthetics of your smile by filling in the gaps left by missing teeth.
Why Choose Dental Crowns and Bridges?
- Restore Function: Dental crowns and bridges restore the ability to bite, chew, and speak properly, allowing you to enjoy your favorite foods and activities without discomfort or difficulty.
- Improve Appearance: Crowns and bridges are custom-made to match the color, shape, and size of your natural teeth, resulting in a seamless and natural-looking smile.
- Prevent Further Damage: Crowns provide protection for weakened or damaged teeth, preventing them from fracturing or breaking under biting forces. Bridges help maintain the alignment of surrounding teeth and prevent them from shifting into the empty space left by missing teeth.
- Long-Term Solution: With proper care and maintenance, dental crowns and bridges can last for many years, providing durable and reliable solutions for tooth restoration.
Maintaining Your Crowns and Bridges:
- Practice Good Oral Hygiene: Brush and floss regularly to keep your crowns and bridges clean and free from plaque and bacteria.
- Avoid Chewing Hard Foods: Be cautious when eating hard or sticky foods that could damage your crowns or bridges.
- Attend Regular Check-ups: Visit us for regular dental check-ups and cleanings to ensure the health and longevity of your dental restorations.
Dental Fillings
Dental fillings are restorative materials used to repair teeth that have been affected by cavities (dental caries), fractures, or other forms of damage. The filling material is placed into the prepared cavity or void in the tooth to restore its shape, function, and strength.
Types of Dental Fillings:
Composite Fillings: Made of a tooth-coloured resin material, composite fillings blend seamlessly with the natural tooth structure, providing both durability and aesthetics. They are an excellent choice for repairing cavities in visible areas of the mouth.
Porcelain Fillings (Inlays and Onlays): Porcelain fillings, also called inlays and onlays, are custom-made restorations fabricated in a dental laboratory. They offer strength, durability, and natural aesthetics, making them ideal for larger cavities or teeth with extensive damage.
Glass Ionomer Fillings: Glass ionomer fillings are tooth-coloured restorations that release fluoride, offering additional protection against decay. They are commonly used for small cavities in primary (baby) teeth or as temporary fillings.
Advantages of Dental Fillings:
- Preserve Natural Tooth Structure
- Prevent Decay from Spreading
- Enhance Aesthetics
- Restore Chewing Function

Dental Cleaning And Polishing
The Importance of Dental Cleaning and Polishing:
Regular dental cleaning and polishing play a crucial role in maintaining good oral hygiene and preventing dental problems such as cavities, gum disease, and bad breath. Here’s why these routine procedures are essential:
- Plaque and Tartar Removal: Despite regular brushing and flossing, plaque and tartar can accumulate on the surfaces of teeth and along the gum line over time. Professional dental cleaning removes these harmful deposits, reducing the risk of tooth decay and gum disease.
- Prevention of Gum Disease: Plaque and tartar build-up can lead to inflammation of the gums (gingivitis) and, if left untreated, progress to more severe gum disease (periodontitis). Dental cleaning helps keep gums healthy by eliminating bacteria and irritants that contribute to gum disease.
- Fresh Breath: Bacteria in plaque and tartar can produce foul-smelling compounds that cause bad breath. Dental cleaning removes these bacteria, leaving your mouth feeling clean and fresh.
- Surface Stain Removal: External stains from coffee, tea, tobacco, and other sources can accumulate on the surfaces of teeth, dulling their appearance. Polishing removes these surface stains, revealing a brighter, whiter smile.
Our Dental Cleaning and Polishing Procedure:
- Comprehensive Examination: Before performing a dental cleaning, our dental hygienist will conduct a thorough examination of your teeth and gums to assess your oral health and identify any areas of concern.
- Plaque and Tartar Removal: Using specialized dental instruments, our hygienist will carefully remove plaque and tartar build-up from the surfaces of your teeth and along the gum line.
- Professional Polishing: After plaque and tartar removal, your teeth will be polished using a special dental polishing paste and a rotating polishing tool. This process smoothes the tooth surfaces and removes surface stains, giving your smile a polished finish.
- Fluoride Treatment (Optional): In some cases, a fluoride treatment may be applied after cleaning and polishing to strengthen tooth enamel and provide additional protection against cavities.
Maintain Your Healthy Smile with Regular Dental Cleanings: Regular dental cleanings and check-ups are essential for maintaining good oral health and preventing dental problems. We recommend scheduling a dental cleaning and polishing appointment every six months to keep your smile looking and feeling its best.
Painless Wisdom Tooth Removal
Are you experiencing discomfort or pain due to your wisdom teeth?
We understand how troublesome wisdom tooth pain can be, and we’re here to help. Our team specializes in painless wisdom tooth removal procedures, offering gentle and effective solutions to alleviate your discomfort and restore your oral health. Say goodbye to wisdom tooth pain and hello to a brighter, pain-free smile with our expert care.
Our Painless Wisdom Tooth Removal Process:
- Comprehensive Evaluation: We’ll start by conducting a thorough examination of your wisdom teeth, including X-rays to assess their position, alignment, and condition.
- Discussion and Planning: Based on our evaluation and your input, we’ll discuss the best course of action for your wisdom tooth removal procedure. We’ll explain the process in detail and address any questions or concerns you may have.
- Comfortable Procedure: On the day of your procedure, we’ll ensure your comfort by providing options for pain management, including local anaesthesia, nitrous oxide (laughing gas), or intravenous (IV) sedation. You can rest assured that you’ll be relaxed and pain-free throughout the entire procedure.
- Gentle Extraction: Using gentle and precise techniques, our dental team will carefully remove your wisdom teeth while minimizing discomfort and trauma to the surrounding tissues. We’ll work efficiently to ensure a smooth and successful extraction process.
- Post-Procedure Care: After your wisdom tooth removal, we’ll provide you with detailed instructions for post-operative care to promote healing and minimize any discomfort. We’ll also be available to answer any questions or concerns you may have as you recover.

Complete Dentures
As we age, maintaining oral health becomes increasingly vital for our overall well-being. Complete dentures offer a practical solution for seniors who have lost all of their natural teeth. These prosthetic devices not only restore the aesthetics of a full smile but also improve chewing ability and speech clarity. In this comprehensive guide, we’ll explore everything you need to know about complete dentures for old age, including their types, benefits, fitting process, care, and more.
Types of Complete Dentures:
- Conventional Dentures: These are fully removable dentures that are custom-made to fit the contours of your mouth. They are typically placed after any remaining teeth have been removed and the gum tissues have healed.
- Implant-Supported Dentures: Implant-supported dentures are anchored in place by dental implants surgically placed in the jawbone. They offer enhanced stability, preventing issues like slippage or discomfort often associated with traditional dentures.
Benefits of Complete Dentures for seniors:
- Improved Chewing and Digestion: Complete dentures restore proper chewing function, enabling seniors to enjoy a varied diet and maintain proper nutrition.
- Enhanced Speech: Missing teeth can affect speech clarity. Dentures help seniors articulate words more clearly, improving communication.
- Restored Facial Appearance: Dentures support facial muscles, preventing the sunken look that can occur with tooth loss, thus restoring a more youthful appearance.
- Boosted Confidence: A full set of teeth can significantly enhance self-esteem and confidence, allowing seniors to smile and socialize with ease.
Care and Maintenance:
- Daily Cleaning: Dentures should be cleaned daily with a soft-bristled brush and mild denture cleaner to remove food debris and plaque.
- Overnight Soaking: Soaking dentures in water or a denture-cleaning solution overnight helps maintain their shape and prevents drying out.
- Regular Check-ups: Routine dental visits are essential for assessing denture fit, oral health, and making any necessary adjustments.
Complete dentures offer seniors a reliable solution for restoring oral function and aesthetics. With proper care and maintenance, these prosthetic devices can significantly enhance quality of life, allowing seniors to enjoy their golden years with confidence and comfort. If you or a loved one are considering complete dentures, consult our dental professional to explore the best options for your specific needs.
Dental Braces And Invisalign Treatments
A Guide to Traditional Braces and Invisible Braces
Achieving a straight, beautiful smile is not only aesthetically pleasing but also contributes to oral health and self-confidence. Dental braces have long been a trusted solution for correcting misaligned teeth and bite issues. In recent years, invisible braces have emerged as a discreet alternative, offering a more subtle approach to orthodontic treatment. In this guide, we’ll explore both traditional braces and invisible braces, their benefits, differences, and what to expect during treatment.
Traditional Braces:
Traditional braces consist of metal brackets attached to the teeth, connected by wires and secured with elastic bands. They exert gentle pressure on the teeth, gradually shifting them into proper alignment. Here are some key aspects of traditional braces:
- Effectiveness: Traditional braces are highly effective in correcting a wide range of orthodontic issues, including crooked teeth, overcrowding, gaps, and bite misalignments.
- Customization: Brackets and bands come in various colours, allowing patients to personalize their braces and express their style.
- Maintenance: While traditional braces require regular adjustments and may cause discomfort initially, advancements in orthodontic technology have made them more comfortable and efficient than ever before.
Invisible Braces:
Invisible braces, also known as clear aligners, offer a discreet and convenient alternative to traditional braces. Made from transparent plastic, these custom-fit aligners gradually move the teeth into alignment.
Here are some key aspects of invisible braces:
- Discreet Appearance: Invisible braces are virtually invisible when worn, making them a popular choice for adults and teens who prefer a more subtle orthodontic treatment option.
- Removability: Unlike traditional braces, invisible braces are removable, allowing for easier cleaning and the ability to eat and drink without restrictions.
- Comfort: Invisible braces are made from smooth, comfortable material, reducing the risk of irritation to the gums and cheeks.
Comparison and Considerations:
- Treatment Duration: Traditional braces typically require longer treatment times compared to invisible braces, which may be preferable for those seeking faster results.
- Complexity of Treatment: Invisible braces are best suited for mild to moderate orthodontic issues, while traditional braces can address more severe cases.
- Compliance: Success with invisible braces depends on wearing the aligners for the recommended amount of time each day, making them ideal for individuals who are committed to following treatment instructions.
Whether you opt for traditional braces or invisible braces, achieving a straighter smile is within reach. Consult with an experienced orthodontist to determine the best treatment plan for your unique needs and preferences. With the right orthodontic care, you can enjoy the confidence and oral health benefits of a beautifully aligned smile for years to come.

Dental Implants
Dental implants offer a revolutionary solution for replacing missing teeth, restoring both the function and aesthetics of your smile. Whether you’ve lost a single tooth or multiple teeth, dental implants provide a durable, natural-looking alternative to traditional tooth replacement options. In this comprehensive guide, we’ll delve into the world of dental implants, exploring their benefits, candidacy, procedure, aftercare, and more.
Benefits of Dental Implants:
- Enhanced Stability and Functionality: Dental implants are anchored directly into the jawbone, providing a stable foundation for replacement teeth. This stability allows for comfortable chewing, speaking, and smiling with confidence.
- Natural Appearance: Implants closely mimic the look and feel of natural teeth, blending seamlessly with your existing smile for a lifelike appearance.
- Preservation of Bone Health: Implants stimulate the jawbone, preventing bone loss and preserving facial structure over time.
- Longevity: With proper care, dental implants can last a lifetime, making them a cost-effective and durable tooth replacement option.
Ideal candidates for dental implants generally have:
- Sufficient jawbone density to support the implant
- Good oral health and hygiene habits
- Commitment to maintaining oral hygiene and attending regular dental check-ups
Dental implants offer a reliable, long-term solution for missing teeth, allowing you to reclaim the functionality and confidence of a complete smile. If you’re considering dental implants, consult our qualified dental professional to explore your options and embark on the journey to a revitalized smile and improved quality of life.









